
Dor na coxa: o que pode ser, como investigar e tratar
Somente quem tem uma dor na coxa persistente sabe o quão incômodo e limitante é esse sintoma. Neste texto abordaremos as principais causas de dor na coxa, como fazemos a investigação das causas desse sintoma e como tratamos cada uma delas.


Investigação da dor na coxa
A investigação da causa de dor na coxa não começa com exames de imagem, mas sim com uma boa consulta, na qual a história dos sintomas deve ser ouvida em detalhes, e complementada com perguntas que o médico especialista em quadril realiza.
Após essa conversa, o médico prossegue com o Exame Físico do paciente, fazendo uma Inspeção do paciente, seguida de Palpação de toda a extensão da coxa além de regiões próximas a coxa, análise da marcha do paciente e testes específicos.
Com isso, o médico já consegue formular algumas hipóteses diagnósticas, que serão confirmadas com exames de imagem e, se necessário, exames de sangue, bem como outros testes mais específicos.
Os principais exames de imagem solicitados neste caso são:
RX: exame que avalia bem a parte óssea da coxa, no caso o fêmur;
Ressonância Magnética: exame que fornece maior quantidade de detalhes em relação às estruturas da coxa, não somente o osso, mas também músculos e tendões.
A seguir, vamos abordar as principais causas de dor na coxa.
Lesões músculo-tendíneas
As lesões nos músculos e tendões na coxa geralmente ocorrem após um trauma ou movimento abrupto, relacionado a atividades esportivas. A Ressonância Magnética confirma o diagnóstico.
As mais comuns são:
Lesão do quadríceps: ocorre frequentemente no momento de um chute, acometendo geralmente o reto femoral. Lesões tendíneas costumam causar dor no quadril, enquanto lesões na fibra muscular causam mais dor na coxa. Seu tratamento é com repouso e Fisioterapia na grande maioria dos casos.
Lesão dos isquiotibiais: são os músculos da parte de trás da coxa (semitendíneo, semimembranoso e bíceps femoral); a lesão geralmente ocorre ao se esticar o quadril com o joelho estendido, fazendo com que o paciente sinta dor na parte baixa da nádega ou na coxa, dependendo do local da lesão. Tratam-se as lesões das fibras musculares com repouso e Fisioterapia. Já avulsões tendíneas, podem necessitar de cirurgia, caso haja avulsão de 2 tendões ou mais, com retração maior de 2 centímetros.


Artrose do Quadril
Apesar de ser uma doença do quadril, alguns pacientes portadores de artrose (desgaste) no quadril podem sentir a dor na coxa, junto com dor no quadril, ou apenas na coxa.


Dessa forma, é importante que caso o exame físico sugira que a dor é oriunda de um problema no quadril, o médico solicite exames do quadril, e não apenas da coxa.
A artrose do quadril é uma condição degenerativa da articulação, que cursa com o desgaste da cartilagem, fazendo com que o paciente apresente dor ao andar e movimentar o quadril.
Faz-se o diagnóstico com RX e Ressonância Magnética.
O tratamento se inicia com medicações analgésicas, perda de peso e Fisioterapia. No entanto, pode-se realizar infiltração com ácido hialurônico na articulação caso o paciente persista com dor na coxa ou dor no quadril.
Com o avanço dos materiais utilizados na cirurgia e nas técnicas cirúrgicas, o paciente volta a ter uma vida normal, praticamente sem limitações após a cirurgia. As próteses mais modernas têm uma durabilidade de aproximadamente 25 anos, permitindo que mesmo pacientes mais jovens possam ser submetidos a essa cirurgia.
Em relação ao tratamento, não existe uma medicação específica para tal patologia. Casos iniciais, ou seja, em que a esfericidade da cabeça femoral está preservada, o tratamento é feito com uma cirurgia chamada de descompressão ou foragem, na qual remove-se o osso necrótico com uma broca, seguida da colocação de enxerto no local, para estimular a formação de osso normal.


Faz-se o tratamento com a prótese de quadril em casos avançados, ou seja, em que houve colapso/retificação da cabeça femoral ou quando já existe artrose instalada.
Osteonecrose da cabeça do fêmur
A Osteonecrose da cabeça do fêmur ocorre devido a um defeito na circulação sanguínea para a cabeça do fêmur, levando à morte do osso nessa região, fazendo com que o paciente tenha dor no quadril, muitas vezes acompanhada de dor na coxa.
Essa dor é pior aos movimentos ou ao fazer esforços físicos, muitas vezes limitando o paciente de andar médias distâncias.
Faz-se o diagnóstico com a Ressonância Magnética.




Já em casos avançados, realiza-se o tratamento com a cirurgia de prótese do quadril, na qual substitui-se a articulação com desgaste por uma articulação metálica, que irá reproduzir os movimentos e funções de um quadril normal.




Fratura atípica de fêmur
A fratura atípica de fêmur é uma condição infrequente, que ocorre em pacientes que fazem uso prolongado de bifosfonatos, como o alendronato ou risedronato.
Utiliza-se essas medicações para o tratamento da osteoporose. Elas atuam impedindo que as células do organismo retirem cálcio do osso. Inicialmente, esse processo é interessante para evitar a progressão da osteoporose.
Entretanto, após longos períodos de uso (geralmente mais de 10 anos), essa medicação pode interromper o processo de renovação do osso (que ocorre pelo equilíbrio de retirada e deposição de cálcio), fazendo com que o osso fique duro, porém frágil, assim como um galho verde congelado.
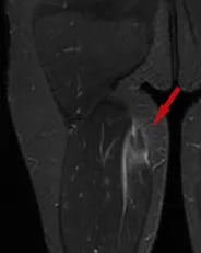
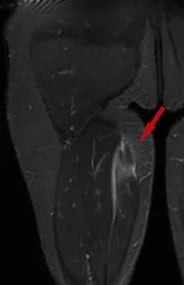
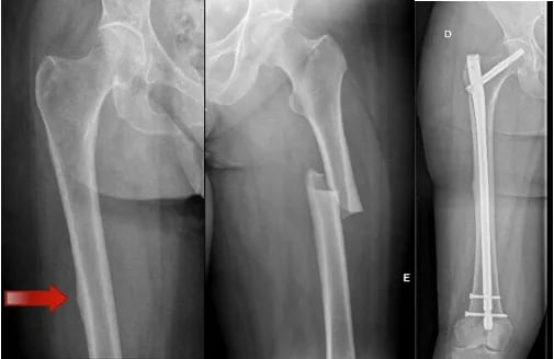
Antes de a fratura propriamente dita ocorrer, o paciente apresenta uma dor na coxa por algumas semanas, causada por uma microfratura no osso, algumas vezes referida como dor no fêmur.
Portanto, pacientes idosos e/ou que fazem uso dessas medicações há muito tempo, e que apresentam dor na coxa ou no quadril, devem ser investigados para essa condição, com RX e Ressonância Magnética.
Como trata-se a fratura típica de fêmur?
Caso os exames apontem a presença de uma microfratura ou espessamento na cortical lateral do fêmur, é mandatório que seja feita uma cirurgia preventiva, com a colocação de uma haste metálica dentro do fêmur, para evitar a ocorrência de uma fratura completa, uma vez que essas fraturas têm um processo de consolidação mais difícil do que fraturas convencionais, justificando a realização da cirurgia profilática.


Caso ocorra a fratura completa, o paciente apresenta muita dor na coxa e não consegue se levantar. Desse modo, esses pacientes geralmente são levados de ambulância para o hospital, necessitando de internação e cirurgia em caráter de urgência.
Fratura de estresse do fêmur
O fêmur pode ser afetado por fraturas de estresse tanto no colo femoral, quanto na diáfise (região do meio do osso). A fratura de estresse do colo do fêmur geralmente cursa com dor no quadril/virilha. Já a fratura por estresse da diáfise cursa com dor na coxa.
Essa condição afeta principalmente atletas, especificamente corredores de longas distâncias e militares, devido a treinos intensivos. O aumento na intensidade, frequência e distância percorrida é o principal fator causador dessa lesão.
No caso de suspeita de fratura por estresse no fêmur, o médico deve solicitar RX e Ressonância Magnética para fazer o diagnóstico.
Caso confirmado o diagnóstico de fratura de estresse da diáfise femoral, o paciente deve cessar os treinos e andar utilizando muletas, sem apoiar os pés no chão por 3 semanas, progredindo para apoio do pé com muletas por mais 3 semanas. Assim, o retorno aos esportes ocorre de maneira gradual, após 12 semanas.
Deve-se operar apenas fraturas desviadas ou que não melhoram com o tratamento conservador.


Meralgia parestésica
A meralgia parestésica é uma condição causada por uma alteração no nervo cutâneo femoral lateral, um nervo puramente sensitivo, responsável pela sensibilidade na região antero-lateral (parte da frente e de fora) da coxa.
Seus sintomas são perda de sensibilidade ou dor na coxa, referida geralmente como queimação, pontadas, agulhadas, formigamento ou choque.
Causas e fatores de risco para essa condição são:
Obesidade
Utilização de cintos ou calças apertados
Presença de outras compressões nervosas (como síndrome do túnel do carpo)
Diabetes
Variações anatômicas do nervo
Fazemos o diagnóstico durante a consulta e confirmamos com exames de imagem e com a eletroneuromiografia, teste que avalia a condução nervosa nos membros.
O tratamento se inicia com medicações, Fisioterapia, perda de peso, controle da diabetes e utilização de roupas mais largas. Entretanto, no caso de persistência, o médico pode realizar infiltrações no nervo.
Além disso, em último caso, o médico responsável pode indicar cirurgia para descompressão ou transecção do nervo.
Dor Ciática
O nervo ciático é formado na coluna lombar, passa na região profunda da nádega e tem seu trajeto pela parte de trás da coxa.
Então, se sofre uma compressão na coluna lombar, por uma protrusão discal ou hérnia de disco, o paciente geralmente apresenta dor na coxa, na região posterior (de trás), acompanhando o trajeto do nervo. Muitas vezes o paciente pode não ter dor na região lombar, apesar de o problema ser oriundo da coluna lombar.
Menos frequentemente, o nervo pode ser comprimido na região glútea, pelo músculo piriforme, que fica logo abaixo do glúteo máximo. Chama-se essa doença de Síndrome do Piriforme. Na situação, o paciente apresenta dor na nádega, acompanhada ou não de dor na coxa.
Faz-se o diagnóstico dessa condição durante a consulta e confirma-se com Ressonância Magnética da coluna lombar e quadril.
O tratamento é com medicações, Fisioterapia e perda de peso. Trata-se os casos persistentes com infiltrações ou cirurgia, dependendo da causa exata da compressão.
Tumores da coxa e fêmur
Tumores ortopédicos, sejam eles benignos ou malignos, são condições infrequentes. Entretanto, a coxa é um possível local de aparecimento dessas lesões, tanto no osso quanto em partes moles, como músculos e gordura.
No caso de suspeita dessas lesões, exames de imagem como RX e Ressonância Magnética devem ser solicitados para confirmar ou afastar o diagnóstico. O Ortopedista Oncológico, uma subespecialidade dentro da Ortopedia, é o responsável pelo tratamento e acompanhamento dessas lesões.





